HERE IT FROM THE PATIENTS


Dental Implant Surgery

Dr. J


Cosmetic & Implant Specialist

MEET THE MENTOR TO 20,000 DENTISTS

  • 1000s of Smiles Reconstructed
  • 1000s of Implants Placed
  • Dentist of Dentists & Revision Specialist!
  • 850+ 5-Star Reviews
ACP
ADA
AO
CDA
ICOI

Who is Performing Your Dental Implant Surgery? Are they Certified Specialists in Implant Dentistry?


You Should Only Trust Certified Experts in Dental Implant Surgery & IV Sedation. Premium Cosmetic Results.

Author - Leader - Mentor


Trust your dental care to a true expert who educates other dentists. Dr. J is a world-renowned mentor and best-selling author.

Treatment Planning in Implant Dentistry

Now in its second edition, released Jan. 2025, the book enables students, dentists and specialists alike to advance and elevate the manner in which implant dentistry is practiced.

Graftless Solutions for the Edentulous Patient

Now in its second edition, the book covers both traditional graftless concepts and zygomatic implant strategies. It provides step-by-step descriptions of techniques and offers guidance on management of complications.

Book Case

The Anacapa Difference


ANACAPA
IMPLANT CENTER
OTHER PRIVATE PRACTICE
The number of implants you need
Custom planning 4,5,6 all cost the same.
4 implants.
4 implants.
Conservative
We preserve your own gum and bone and give you teeth which look like teeth.
Cut down your bone and give you prosthetic gum.
Cut down your bone and give you prosthetic gum.
Advanced technology
Digital solutions, accuracy and efficiency.
Technology is not tested.
Goopy impressions refer elsewhere to get teeth made.
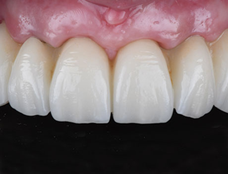
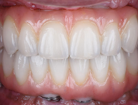
Functional and Esthetic teeth
On the day of surgery.
They promise final teeth the next day but what happens after you heal. You develop a space between your teeth and gums.
Teeth the day after surgery.
The care you need
All implant specialists on site.
Not all are implant specialists.
Travel between multiple offices increasing cost.
Convenience
On site lab to give you bright natural looking teeth and a custom smile.
Everyone gets the same looking teeth.
Often miscommunication between the offices.
Team you can trust
Our specialists have decades of experience, have written books and teach others. We do it everyday.
Employ people with minimal experience. Do it a few times a week.
Often not all specialists. Do it once every 6 months.
Warranty
Warranty for lasting protection. 5-year warranty on Implants and teeth.
Often advertise lifetime warranty incorrectly.
No warranty.
Ongoing Support
All staff are very well trained to put your needs first.
Often you don’t get to speak to the doctor.
Different offices have different levels of training.

Anacapa Aesthetic Smiles


Precision in Implant and Aesthetic Dentistry

NO BONE REDUCTION

NO BONE REDUCTION

AGGRESSIVE BONE REDUCTION
(OTHER OFFICES)

AGGRESSIVE BONE REDUCTION
1. Patient specific plan

We predict your results before we start. Our talented team use advanced technology, including CT scans, 3D facial scanners, intra-oral scanners and advanced software to plan the ideal outcomes for our patients.

2. Technology to Build your Smile

Having the most advanced milling machines and design protocols in the world, we are able to manufacture your teeth with precision and durability in mind.

3. Expertise

As true experts in the field we pride ourselves in providing natural looking beautiful and bright teeth. Nobody will know you have had anything done . We are so confident in our team that we will guarantee that you will love your teeth or we will redo them at no cost to you.

4. Comfort and Cost

Our highly trained team will make you comfortable throughout the procedure. The process is efficient and precise which allows us to pass on the cost savings to you

Be Inspired By the Beautiful Smiles of
Anacapa Dental Art Institute


Patient Beautiful Smiles Image
Patient Beautiful Smiles Image
Patient Beautiful Smiles Image
Patient Beautiful Smiles Image
Patient Beautiful Smiles Image
Patient Beautiful Smiles Image
Patient Beautiful Smiles Image
Patient Beautiful Smiles Image
Patient Beautiful Smiles Image
Patient Beautiful Smiles Image
Patient Beautiful Smiles Image
Patient Beautiful Smiles Image
Patient Beautiful Smiles Image
Patient Beautiful Smiles Image
Patient Beautiful Smiles Image
Patient Beautiful Smiles Image
Patient Beautiful Smiles Image
Patient Beautiful Smiles Image
Patient Beautiful Smiles Image
Patient Beautiful Smiles Image
Patient Beautiful Smiles Image
Patient Beautiful Smiles Image
Patient Beautiful Smiles Image
Patient Beautiful Smiles Image
Patient Beautiful Smiles Image
Patient Beautiful Smiles Image
Patient Beautiful Smiles Image
Patient Beautiful Smiles Image
Patient Beautiful Smiles Image
Patient Beautiful Smiles Image
Patient Beautiful Smiles Image
Patient Beautiful Smiles Image
Patient Beautiful Smiles Image
Patient Beautiful Smiles Image
Patient Beautiful Smiles Image
Patient Beautiful Smiles Image
Patient Beautiful Smiles Image
Patient Beautiful Smiles Image
Patient Beautiful Smiles Image
Patient Beautiful Smiles Image
Patient Beautiful Smiles Image
Patient Beautiful Smiles Image
Patient Beautiful Smiles Image
Patient Beautiful Smiles Image
Patient Beautiful Smiles Image
Patient Beautiful Smiles Image
Patient Beautiful Smiles Image
Patient Beautiful Smiles Image
Patient Beautiful Smiles Image
Patient Beautiful Smiles Image
Patient Beautiful Smiles Image
Patient Beautiful Smiles Image
Patient Beautiful Smiles Image
Patient Beautiful Smiles Image
Patient Beautiful Smiles Image
Patient Beautiful Smiles Image
Patient Beautiful Smiles Image
Patient Beautiful Smiles Image
Patient Beautiful Smiles Image
Patient Beautiful Smiles Image
Patient Beautiful Smiles Image
Patient Beautiful Smiles Image
Patient Beautiful Smiles Image
Patient Beautiful Smiles Image
Patient Beautiful Smiles Image
Patient Beautiful Smiles Image
Patient Beautiful Smiles Image
Patient Beautiful Smiles Image
Patient Beautiful Smiles Image
Patient Beautiful Smiles Image
Patient Beautiful Smiles Image
Patient Beautiful Smiles Image
Patient Beautiful Smiles Image
Patient Beautiful Smiles Image
Patient Beautiful Smiles Image
Quote Icon

Every Smile is the Culmination of Science and Art.

-Dr. J

About Doctor Image

Anacapa Dental Art Institute Price Match Assurance


At Anacapa Dental Art Institute, we provide the highest quality dental implant services at the best prices. Our Price Match Assurance guarantees that if you find a lower published price by a specialist for surgery and restoration for the All On 4 “Teeth in a Day” procedure (with Zirconia prosthetics) within a 50-mile radius, we will match it. This includes consultation, Arch placement, and materials used.

See How We Can Help.

Is Your Smile Holding You Back?


Rediscover your confidence with Anacapa Dental Art Institute. Here, every smile we craft starts with understanding your needs and dreams. With our precision technology and expert care, we ensure your new smile is just as you envision—perfect. Join us and see why our patients choose Anacapa for a transformation that goes beyond just aesthetics.

Explore Your Journey with Us.

About Doctor Image

Anacapa Dental Art Institute Quality Guarantee


At Anacapa Dental Art Institute, we are dedicated to offering the highest standard of dental care. Our Quality Guarantee ensures that every patient receives exceptional treatment, utilizing state-of-the-art technology and premium materials.

Why Choose Anacapa
All-On-X?


Over 1,000 All-On-X restorations, crafted with precision and excellence by our team.

This state-of-the-art solution replaces missing or damaged teeth with a full arch of permanent, natural-looking teeth, designed to restore both function and beauty to your smile.

Say goodbye to dentures and hello to comfort, confidence, and the joy of a second chance at a stunning smile.

Our Expertise Image

Our Expertise


At Anacapa Dental Art Institute, specialization isn't just a credential—it's our practice. Our team, skilled in both oral surgery and prosthodontics, focuses exclusively on All-On-X treatments, ensuring that every procedure not only meets but exceeds expectations. Our experts dedicate themselves to precision in every detail, transforming lives one smile at a time.

Understanding the journey can ease your mind.

The Anacapa All-On-X Process Explained


Process Icon

The Anacapa All-On-X process begins with a personalized consultation to assess your needs, followed by a detailed treatment plan crafted by our experts.

Process Icon

Using the latest in dental technology, we ensure your procedure is as comfortable and efficient as possible, with most patients leaving with a full set of teeth the same day.

Process Icon

Recovery and aftercare are supported by our dedicated team, committed to your swift and smooth recovery.

Quote Icon

I pride myself in providing patients with the most natural looking bright smiles possible.

-Dr. J

See Real Smile Transformations


Success Stories


"My teeth were bad, confidence was at a low. I really thought I was gonna be 41 with false teeth. Dr. J is a perfectionist, top notch, and he expects nothing less from his team. Point blank, he's the best. He laid out a plan. He said, "In 6-8 months I'll have you crunching on an apple." I had no doubt that he meant every word. He exuded confidence and ..."

- Steven Welch

“This office is the best of the best! From the front desk staff, to Darlene the dental hygienist, to Dr. J Everyone is kind and knowledgeable! The office itself is so beautiful, without the typical “dental office” look— perfect for anyone with a fear of going to the dentist. They will make you feel at home and bring you the best care!”

– Darian Ward

“Was such a great dentist visit. I was very nervous to get 4 fillings but dr. Patel and Grace made it such a nice and comfortable environment! And Maria helped me schedule my next appointment for the coming months with ease! Highly recommend this place for anyone who has doubts or fears of going to the dentist.”

– Morgan mckillican

Your Smile Transformation Awaits


About Doctor Image

Schedule Your Consultation


We take the guesswork out of the process, allowing you to focus on what really matters: your health and your smile. Trust Anacapa Dental Art Institute to guide your transformation, where expert care and unbeatable value come together.